Содержание:
- Протезы при косметических дефектах и разрушении зубов.
- Протезирование при отсутствии одного или нескольких зубов.
- Виды протезирования при полном отсутствии зубов.
Применение даже самых современных стоматологических технологий иногда не позволяет вылечить больной зуб. Но его внешний вид и жевательные функции всегда можно восстановить установкой протеза.
Когда показано протезирование зубов, виды и особенности протезов рассмотрим на примере работы стоматологической клиники «Все свои!», которая предлагает большой выбор качественных и доступных методов восстановления красивой улыбки.
Протезы при косметических дефектах и разрушении зубов
Протезы используют не только для замещения потерянных зубных единиц, но и для реставрации собственных поврежденных или разрушенных зубов.
Виниры и люминиры
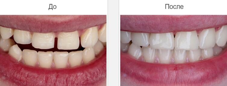
Это керамические накладки на переднюю поверхность зубов в зоне улыбки. С их помощью корректируют цвет зубов, скрывают сколы, трещины, неровные режущие края и широкие межзубные промежутки.
В стоматологии «Все свои!» можно установить виниры E-max — это прессованная керамика немецкого производства: состав повышенной прочности, который служит более 10 лет.

Люминиры отличаются от виниров меньшей толщиной, более естественным внешним видом и отсутствием необходимости обтачивать зубы, но такой микропротез обойдется дороже.
Вкладки
Вкладки используют для реставрации больших полостей, в том числе при разрушении их стенок. По сравнению с пломбой, вкладки не меняют свой цвет и служат примерно в 5 раз дольше.
Коронки
Если коронковая часть зуба разрушена больше, чем наполовину, здоровый корень можно спасти установкой коронки.

В клинике «Все свои!» вам помогут подобрать подходящий материал коронки с учетом особенностей ротовой полости, общего состояния здоровья и ваших пожеланий по стоимости лечения. Например, эконом-вариант для передних зубов — керамика, для жевательных — металлокерамика, а универсальное, но дорогое решение — циркониевая коронка.
Протезирование при отсутствии одного или нескольких зубов
При удалении с корнем одного или нескольких зубов целостность зубного ряда восстанавливают съемными и несъемными протезами.
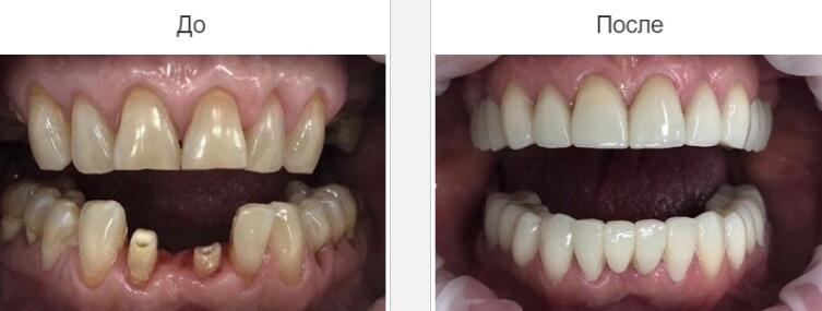
Коронка на импланте
Это единичный несъемный протез, который включает в себя:
- имплант — искусственный корень, вживляемый в кость верхней или нижней челюсти;
- коронку — фиксируется на импланте так же, как и на свой зуб, но выбор материалов ограничен, так как не все составы совместимы с имплантом.
Этот вид протезирования позволяет восстановить как жевательные зубы, так и зубы в зоне улыбки.

Мостовидный протез
Также относится к несъемным протезам и позволяет замещать от 1 до 3 потерянных зубных единиц — при условии, что они находятся рядом и с обеих сторон осталось хотя бы по 1 опорному зубу.
Конструкция этого вида зубного протеза напоминает мост:
- в середине — искусственный зуб (или зубы);
- по краям — коронки для опорных зубов, которые предварительно пролечивают и обтачивают (для опоры можно также установить импланты).

Мостовидный протез позволяет полноценно пережевывать пищу, не вызывает трудностей в адаптации и служит в среднем 7−10 лет.
Частично-съемное протезирование зубов
Частично-съемные зубные протезы позволяют реставрировать и один, и несколько потерянных зубов. Конструкции крепятся на крючках или замках, поэтому их можно регулярно снимать и чистить.

Различают два вида таких зубных протезов: пластиночные и бюгельные (более компактные и удобные).
Самые дешевые бюгельные протезы делают из акриловой пластмассы с металлической дугой. Но в стоматологии «Все свои!» есть и более долговечные, незаметные и гипоаллергенные конструкции из нейлона и полимерной дуги (итальянская разработка Quattro Ti).

Виды протезирования при полном отсутствии зубов
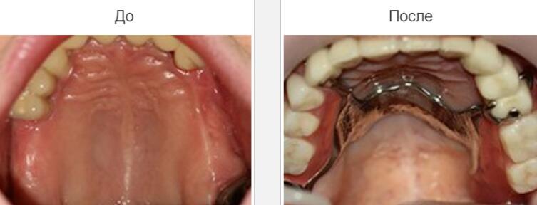
Если отсутствуют все или практически все зубы, стоматолог может предложить полный съемный или условно-съемный протез.
Съемные протезы бывают акриловыми или нейлоновыми. Акрил отличается своей доступностью, а нейлоновые протезы — лучшей биосовместимостью и эстетическими качествами. Конструкция крепится к слизистой за счет присасывания, ее нужно регулярно чистить, снимать на ночь и менять каждые 2,5−3 года, поскольку из-за жевательной нагрузки меняется рельеф десен.
Более практичный вариант — полные протезы на 4−6 имплантах, которые могут прослужить без коррекции около 10 лет. Они относятся к условно-съемным, так как снять их может только стоматолог. Важно, что эти протезы восстанавливают жевательную функцию и предотвращают атрофию костной ткани, связанную с удалением корней зубов.

Выбирая вид протеза, стоит ориентироваться не только на собственные предпочтения, но и на рекомендации стоматолога-ортопеда, который досконально знает все нюансы разных конструкций и предложит варианты, которые лучше всего подойдут именно в вашей ситуации.

Владимир Заруйкин, спасибо за разъяснение. Понял - Тед Бриггс, сначала взлетевший в воздух, потом засосанный в воронку, под водой,...