В больничной палате на глазах у Зары в страшных родовых муках скончалась молодая женщина, не удалось спасти и ее ребенка. Испугавшись, что подобная участь ожидает и ее, Зара сбежала из больницы. На протяжении нескольких последующих дней схватки продолжались, однако долгожданный ребенок так и не появился на свет.
Много лет спустя, когда Заре было уже больше 70, боль неожиданно вернулась, и по настоянию приемного сына она обратилась в больницу. Ультразвуковое исследование показало присутствие в брюшной полости инородного тела, природу которого врач затруднялся объяснить. Было проведено более тщательное обследование организма, по результатам которого было высказано предположение, что твердая масса в организме Зары — не что иное, как окаменелое тело ее так и не родившегося ребенка.

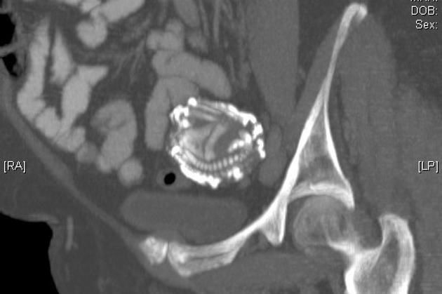
Необходимо было срочно проводить операцию, так как дальнейшее промедление неминуемо привело бы к смерти пациентки. Спустя четыре часа врачам удалось извлечь из тела женщины плод весом чуть более 3 килограммов и 42 сантиметра в длину.
История эта настолько фантастична, что просто не может быть вымыслом. Такой удивительный факт, как говорится, нарочно не придумаешь. А в то, что она не уникальна, вообще верится с трудом.
- Феномен этой патологии крайне редкий: до 1900 года были описаны только 38 подобных случаев, на настоящий момент их насчитывается не более 300.
- Самый древний окаменелый плод был найден при раскопках захоронений на территории США, возраст его более 1000 лет.

Первое упоминание о подобном явлении встречается в труде арабского хирурга Абу-аль-Казима, жившего в XI веке. Первое подробное описание «каменного ребенка» датируется 1582 годом. Тогда весь научный мир Европы был потрясен заявлением французского врача о том, что при вскрытии тела 69-летней женщины им был обнаружен окаменелый плод, остававшийся в чреве матери на протяжении 28 лет. «Каменный ребенок» подвергся тщательному изучению выдающимися учеными того времени. Существует множество его описаний и изображений.
С того времени все чаще появлялись свидетельства и отчеты в трудах практикующих врачей об обнаружении окаменелого плода. Светлые головы того времени терялись в догадках, пытаясь объяснить причину подобной аномалии, вопросов оставалось больше, чем появлялось ответов.

Высказывалось и такое предположение о природе данного явления: предлагалось рассматривать окаменелость как атавизм. В данном утверждении прослеживается аллюзия на древнегреческий миф, согласно которому Девкалион и Пирра возродили род человеческий из камня. Научной подобную теорию назвать трудно, но другого объяснения ученые того времени не давали.
«Каменный ребенок», окаменелый плод, или литопедион (lithopaedion; греч. lithos камень + paidion ребенок), образуется в теле женщины в случае внутриутробной смерти плода. Организм воспринимает мертвое тело как инородное и, чтобы защитить себя от инфекции, покрывает его толстыми слоями кальция.
Литопедион может находиться в теле в течение долгих лет бессимптомно. Так, например, зарегистрирован случай, когда женщина 60 лет носила мертвый плод, не испытывая при этом никакого дискомфорта. Присутствие его обнаружили совершенно случайно, когда в госпитале она проходила медицинский осмотр. Именно так, случайно, литопедион, как правило, и находят — либо при прохождении медицинского осмотра, включающего в себя рентген органов брюшной полости, ультразвуковое исследование или томографию, либо во время операции.
Некоторые женщины, носящие под сердцем «каменного ребенка», не теряют способность к деторождению. Свидетельство тому — следующая история.

23-летняя жительница Кореи на девятом месяце беременности вдруг почувствовала острую боль в области живота, но по истечении нескольких дней боль стихла. Девушка подумала, что у нее случился выкидыш, и в больницу обращаться не стала, ограничившись посещением знахарки, по совету которой начала пить настои лечебных трав.
Спустя два года девушка вновь забеременела и в срок родила здоровую девочку. Первенец же ее появился на свет лишь 40 лет спустя. Она поступила в больницу с жалобами на острую боль и тяжесть внизу живота, расстройство мочеиспускания. В ходе предварительного осмотра в нижней части живота было обнаружено образование, твердое на ощупь и подвижное. Врачи сделали предположение, что это могла быть злокачественная опухоль. В ходе операции был обнаружен окаменелый плод.
Сообщения о «каменном ребенке» поступали со всего мира. Такими находками прославилась и страны африканского континента, и США, Норвегия и Япония, Ирландия и Корея.
В России за последние годы было зарегистрировано два случая, причем оба в 2001 году:
- в теле 53-летней жительницы города Тверь был обнаружен окаменелый плод, который пребывал в утробе матери на протяжении 32 лет;
- у 24-летней жительницы Улан-Уде на втором месяце беременности началось отторжение плода и пришлось делать операцию по его извлечению — удивлению врачей не было предела, когда они обнаружили литопедион.
Но, пожалуй, самый невероятный из всех зарегистрированных и описанных случаев произошел в Канаде в 2007 году, когда врачи извлекли из тела 40-летней женщины целых два окаменелых плода, пробывших в ее чреве 9 лет.

Как показывает практика, длительное пребывание литопедиона в теле влечет за собой ряд всевозможных осложнений:
- в некоторых случаях образование спаек вокруг литопедиона приводит к явлениям непроходимости кишечника;
- сращение его с петлями кишок грозит перфорацией с последующим развитием межкишечного абсцесса или перитонита;
- давление литопедиона на стенки мочевого пузыря приводит к расстройству мочеиспускания.
- и, наверное, самое страшное последствие — бесплодие.
Принимая во внимание все возможные осложнения, врачи советуют немедленно проводить операцию по извлечению литопедиона, которая, по их заверениям, несложная и сопровождается небольшим кровотечением. Ни одной смерти во время подобной операции зафиксировано еще не было.
Последнее время литопедионы находят все реже и реже. Это связано с повышением качества медицинского обслуживания в целом и дородового наблюдения (с возможностью диагностики всевозможных осложнений), в частности. Хочется верить, что сообщения о «едва ли не самом большом бедствии, которое может обрушиться на женщину» совсем исчезнут со страниц медицинских журналов.





пОЧЕМУ ЖЕНЩИНУ НЕ СМУТИЛО, ЧТО РЕБЕНОК НЕ ПОЯВИЛСЯ НА СВЕТ??? тО ЕСТЬ ДЛЯ НЕЕ БЫЛО НОВОСТЬЮ, ЧТО ТАМ МУМИЯ РЕБЕНКА, А ТО ЧТО ПОСЛЕ 9 МЕСЯЦЕВ МАЛЫШ НЕ ПОЯВИЛСЯ - НЕТ, НОРМУЛЬ, САМ РАССОСАЛСЯ. КАК ТАК? РАЗ ОНА ПОШЛА В РОДДОМ, ЗНАЧИТ ТОЧНО ЗНАЛА О БЕРЕМЕННОСТИ И НАХОЖДЕНИИ ТАМ ЗДОРОВОГО МАЛЫША, НЕ ЗАМЕТИТЬ, ЧТО ИЗ ТЕБЯ НЕ ВЫЛЕЗЛО 3,5 КГ ЖИВОГО ЧЕЛОВЕКА СЛОЖНО. ИНТЕРЕСНО ЕЕ ПОСЛУШАТЬ ЧЕМ ОНА АРГУМЕНТИРУЕТ СВОЮ БЕСПЕЧНОСТЬ. пРО 40 ЛЕТ НЕ ОБСЛЕДОВАТЬСЯ У ГИНЕКОЛОГА Я ВООБЩЕ МОЛЧУ
0 Ответить
Статья очень интересная.
Могу добавить, что в средние века, если вдруг после сожжения очередной ведьмы находили литопедион, то это расценивали как подтверждение того, что сожженная была настоящей ведьмой. Видимо, это явление было не таким уж редким. Или многих сжигали?. И, естественно, в то время ни о каком хирургичесом лечении и речи не шло.
Но... один маленький минус. Непорядок с хронологией: либо плод пролежал не 46 лет, а больше, либо женщине не 75, а 72 года.
и даты "Первое подробное описание «каменного ребенка» датируется 1582 годом." и "И только Исраэль Спэч в 1557 году взял на себя смелость высказать предположение о природе данного явления" не стыкуются. Прошу прощения.
0 Ответить
Спасибо, Оксана, за отзыв.
Относительно Зары. Впервые о ней рассказал UK Channel 5 в рамках проекта Extraordinary People. Авторы фильма обозначили даты, указанные мною в статье (перепутала я дату рождения Зары, но это картину не меняет, так как авторы утверждают, что забеременела Зара в 26 лет, а плод извлекли, когда ей было 75, беременность при этом, по их словам, длилась 46 лет). Я решила самодеятельностью не заниматься, а указать те данные, которые в репортаже были упомянуты.С материалами фильма можно ознакомится здесь >
http://www.mymultiplesclerosis.co.uk/misc/zahra-aboutalib.html
Нестыковок с датами в статье нет. Первое подробное ОПИСАНИЕ литопедиона было сделано французским врачом Jean d'Ailleboust в 1582 году. Эту информацию можно прочитать здесь >
http://www.ncbi.nlm.nih.gov/pubmed/8709075?ordinalpos=1&itool=PPMCLayout.PPMCAppController.PPMCArticlePage.PPMCPubmedRA&linkpos=1
Первая попытка ОБЪЯСНИТЬ данное явление была предпринята Исраэлем Спэчем в 1557 году. Его обширный труд, посвященный гинекологии носит название Gynaeciorum. Его можно найти в интернете.
ПЕРВОЕ ПОДРОБНОЕ ОПИСАНИЕ явления и попытка ОБЪЯСНИТЬ ЯВЛЕНИЕ – вещи разные. В тот момент, когда Спэч писал свой труд (1557 год), подробных описаний литопедиона еще не существовало, но явление это само по себе врачам было известно еще с 11 века. А подробно описали, пощупали, взвесили, сделали зарисовки литопедиона несколько позже, в 1582году.
Моя ошибка в том, что я неверно расставила смысловые акценты.
Оценка статьи: 5
0 Ответить
Оксана Боборыкина, спасибо, убрали спорные даты.
0 Ответить
Удивительно.
О таком почему-то даже не слыхала.
Оценка статьи: 5
0 Ответить
Для меня было шоком, прочитв такую статью, узнать что вообще такое возможно. Я просто поражена!
Оценка статьи: 5
0 Ответить
Мне рассказывали историю о замершей беременности у знакомой, упоминая при этом "мумифицировавшийся" плод... Неужели, речь шла именно о литопедионе?..
Была беременность, был большой живот, потом - рези, и... мамаша решает, что у нее произошел выкидыш! А живот?!..
Я только не поняла, как можно не замечать, что в тебе находится инородное тело весом более 3 кг?
0 Ответить
Наталья Барабаш, Живот - животом... А ребёнок?! Тётка была на 9-м месяце беременности! Её не удивило то, что ребёнка нет?
1 Ответить
В случае внутриутробной смерти плода он может долгое время находится в организме матери, подвергаясь различным изменениям, в том числе и мумификации. В редких случаях в ткани мумифицированного плода откладываются соли кальция, и формируется окаменелый плод (то бишь литопедион).
А на счет не замечают... ничего не могу сказать. Скорее стараются не обращать внимания.
Чаще всего подобное случалось в слаборазвитых странах, где медицинское обслуживание на низком уровне, и едва ли найдется больница в радиусе сотни километров. Женщины вынужедены много работать, чтобы прокормить семью - времени, да и средств для посещения докторов у них просто нет. Вот и не обращают внимания ни на живот, ни на что другое
Оценка статьи: 5
0 Ответить
Мария Юденко, сомнительно. Какой бы отсталой и нищей ни была страна, как бы много ни работала женщина, НО! то, что после 9-ти месяцев беременности на свет появляется РЕБЁНОК - об этом даже в африканских племенах знают. И на таком сроке речь идёт не о выкидыше, а именно о рождении ребёнка. Живой или нет - это уже другой вопрос, но он должен был появиться. А не появился. Как женщину, пребывающую в здравом уме, это не насторожило? Куда, по её мнению, он мог деться?
0 Ответить