Какие причины возникновения кисты?
Существует множество причин формирования кисты в человеческом организме. Выделяют врождённые и приобретенные кисты.
Первый вид возникает из-за нарушения закладки органов (эмбриогенеза) или по причине атрезии выводящих протоков. Что же касается второго вида, выделяют травматические кисты, ретенционные, паразитарные, кисты размягчения и опухолевые. Причины, соответственно, разные: нарушение оттока секрета, появление паразитов в организме, некроз (гибель) некого участка ткани, получение травм.
Выделяют также и провоцирующие факторы, общие для всех видов кист:
- Нарушение работы иммунной системы.
- Инфекция.
- Переохлаждение.
- Чрезмерная физическая и эмоциональная нагрузка.
- Гормональная дисфункция.

Каковы признаки наличия кисты?
В большинстве случаев её присутствие незаметно. Но со временем, при увеличении её размеров и нарушениях работы пораженного органа, возможно возникновение различной клинической симптоматики. Всё зависит от места расположения кисты.
Чем опасна киста?
Достаточно низким является процент самостоятельного исчезновения кистозной полости. А риск увеличения её со временем — возрастает. Именно поэтому, при отсутствии необходимого лечения, патология может разорваться, нагноиться, а сдавливая окружающие ткани и органы, нарушать их работу. Существует риск злокачественной трансформации.
Возможные последствия:
- Сдавливание окружающих органов, тканей и структур, что приводит к нарушению их работы.
- Увеличение размеров кистозной полости.
- Инфицирование и нагноение.
- Разрыв капсулы кисты.
- Киста яичника может стать причиной бесплодия.
- Специалисты утверждают, что риск озлокачествления кисты минимальный.

Может ли рассосаться киста самостоятельно, — вопрос достаточно сложный. Всё зависит от давности заболевания, размера и формы образования. Именно поэтому важно проходить ежегодные профилактичесhttps://www.shkolazhizni.ru/he…кие осмотры у специалистов. А при обнаружении кисты необходимо проконсультироваться с лечащим врачом по поводу
дальнейшей тактики.
Чем отличается киста от опухоли?
Киста относится к группе доброкачественных образований. Содержимое окружено капсулой. Длительное время никак себя не проявляет. Клиническая симптоматика возникает при значительных размерах образования и если киста является причиной нарушения работы органа.
Опухоли бывают двух разновидностей: злокачественные (рак) и доброкачественные.
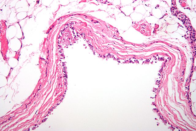
Доброкачественные опухоли нужно дифференцировать с кистой, поскольку клиника и строение подобны. Если это опухоль, в образце ткани будут выявлены атипичные клетки. При кистозном образовании таких клеток нет, содержимое отвечает локализации.

Единственное, что поможет с точностью ответить, киста это или опухоль, — биопсия ткани и гистологическое исследование.
Если нет капсулы, есть характерный быстрый и агрессивный рост с разрушением окружающих тканей, клетки, не типичные для их расположения, — это злокачественная опухоль. Для данного вида патологического образования характерно метастазирование — распространение раковых клеток по всему организму. При наличии метастазов прогноз неблагоприятный.
Как проводят диагностику?
Общеклинические анализы помогут выявить только нарушение в организме и не являются специфическими. Более подробную информацию можно получить с помощью дополнительных методов диагностики организма:
- Рентгенография.
- УЗИ.
- Компьютерная и магниторезонансная томография.
- Лапароскопия.
- Биопсия.
- Анализ на онкомаркеры.
Два последних метода позволяют отличить кисту от опухоли.

Лечение
Специалисты выделяют три тактики лечения:
- Выжидательная: проводится только динамическое наблюдение за пациентом.
- Медикаментозная: применяются лекарственные средства для симптоматической и этиологической терапии.
- Хирургическое вмешательство проводят только по показаниям: большие размеры образования, нарушение работы органов, возникновение осложнений.





Надо не лениться ходит к врачу. Себя любить надо, а не искать поводы, чтобы не появляться в поликлинике.
Оценка статьи: 5
0 Ответить